新利luck18

EN
×
EN
  • 营业咨询

    中国:

    Email: marketing@medicilon.com.cn

    营业咨询专线:400-780-8018

    (仅限效劳咨询 ,,,,,其他事宜请拨打川沙总部电话)

    川沙总部电话: +86 (21) 5859-1500

    外洋:

    +1(781)535-1428(U.S.)

    0044 7790 816 954 (Europe)

    Email:marketing@medicilon.com

在线留言×
点击切换
Integrated Solutions
效劳平台

深度整合研发履历 ,,,,,一直攀缘研发手艺岑岭 ,,,,,搭建新药研发一体化立异效劳平台。。。

病理学研究

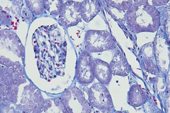
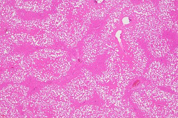
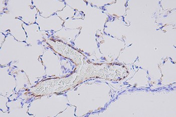
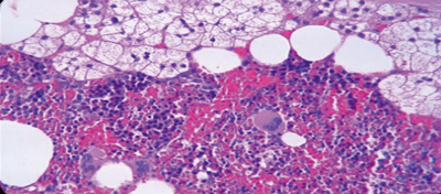
新利luck18的病理学研究效劳平台对标国际领先的研究操作流程和质量系统 ,,,,,具有完善的专业资质 ,,,,,完整的实验器材以及富厚的履历 ,,,,,能够实现高效 ,,,,,稳固的病理研究效劳。。。病理学研究效劳平台可以为新药研发的药理药效和清静性评估提供真实可靠的科学依据。。。
新利luck18病理学研究平台
新利luck18病理学研究效劳列表
病理研究效劳平台专业资质
病理研究效劳平台实验室设施
返回
×
搜索验证
点击切换
【网站地图】【sitemap】